首爾貼片牙科治療 - 為什麼選擇韓國?
免磨牙瓷牙貼片
一種美容牙科療程,透過將超薄陶瓷貼片黏附於牙齒表面,在幾乎不需或完全不需修磨牙齒的情況下,恢復牙齒的理想形態。

延世好日牙科的免磨牙瓷牙貼片
以細微的變化,給您自信笑容
根據每位患者的牙齒狀況設計理想的牙齒形態,不僅能改善笑容與臉部美感,同時兼顧牙齒健康。
在延世好日牙科診所,我們使用厚度 小於 0.3 毫米 的超薄瓷材,能將牙齒修磨降到最低,甚至完全避免修磨。透過免磨牙瓷牙貼片,可同時改善牙齒的形狀與顏色。由於天然牙齒結構大部分得以保留,僅針對需要修正的部位進行填補,因此此療程被視為一種 高度保守且健康的治療方式,
最大程度保存天然牙齒。




明顯、假假的貼片?不!
自然的貼片工藝
如果您曾看過有人做了貼片後,牙齒顯得突兀不自然,那很可能是因為貼片製作不良。
真正的貼片應該保留牙齒的自然質感與透明感,並與臉型和諧融合,才能呈現出自然美觀的效果。

Veneer Comparison
Category | Poor Veneers | Yonsei Good Day Veneers |
---|---|---|
Color | Artificial opaque white shade that looks unnatural | Color layering that preserves the natural shade and translucency of real teeth |
Thickness | Thick tip that ignores light diffusion effect | Thin tip that maintains curvature considering light diffusion |
Surface Texture | Artificial surface texture different from natural teeth | Customized surface texture that replicates natural teeth |
Shape | Shape not harmonizing with natural tooth form | Tooth alignment and proportions designed to match arch line |
層壓式瓷牙貼片療程
完整展現貼片療程流程:從 初診諮詢、色澤比對、取模、製作、牙齒預備、貼片黏著、光固化、咬合調整,到最後的 前後對比成果。
延世好日牙科如何保護您的天然牙齒
局部矯正 + 免磨牙貼片
當前牙排列不齊或前突時,我們並不建議立即施作貼片。
因為牙齒越不整齊,所需的牙齒修磨量就越大。
雖然僅需一週即可透過修磨與貼片來改善問題牙齒,但延世好日牙科更重視 最大限度保留您的天然牙齒。
若是我的家人或摯愛,我一定會建議先進行 4 至 6 個月的局部矯正,再搭配貼片治療。
Best Treatment: Partial Orthodontics + No-Prep Veneers
Orthodontics Only | Veneers Only |
---|---|
Aligns teeth by adjusting the angulation and position through tooth movement | Improves shape and color by attaching artificial teeth onto natural teeth |
Cannot improve the original tooth shape and color alone | Amount of tooth reduction varies by individual; in cases of excessive reduction, sensitivity or nerve treatment may be required |
4~6 Month Partial Orthodontics | Veneers |
---|---|
Aligns tooth position and angulation for better arch form | Shape and color improvement with minimal tooth reduction |
如何為輕微前突的門牙施作免磨牙貼片


什麼是全瓷牙貼片?
- 全瓷牙貼片是專為覆蓋牙齒表面的薄型客製化瓷殼。
它由高品質瓷材製成,具有 耐用、防染色、自然美觀 的特點。與傳統治療不同,牙齒貼片僅需極少量修磨牙齒,即可達到持久的美學效果。
您適合做牙齒貼片嗎?
如果您有以下情況,可能適合接受全瓷牙貼片:
- 牙齒變色,且漂白無法改善
- 斷裂或缺角的牙齒,影響笑容整齊度
- 牙齒縫隙過大,想要關閉縫隙
- 齒列不齊或不均,但不想接受矯正治療
- 牙齦笑或牙齒過短,導致笑容比例失衡
貼片治療流程
- 步驟 1:個人化諮詢
詳細檢查牙齒並了解您的笑容需求,可能會進行數位掃描或取模,以設計最適合您的牙齒形態與色澤。
- 步驟 2:笑容設計與牙齒預備
透過先進技術製作專屬設計,僅需極少量修磨琺瑯質,確保完美貼合與自然排列。
- 步驟 3:臨時貼片
在正式貼片完成前,會先安裝臨時貼片,讓您預先查看效果並進行調整。
- 步驟 4:正式貼片安裝
專屬訂製的全瓷貼片完成後,將牢固黏著於牙齒表面,打造自然、完美的笑容。
為什麼選擇全瓷牙貼片?
- 即時美化笑容:快速擁有明亮整齊的笑容
- 微創治療:比牙冠修磨牙齒更少
- 長效耐用:妥善保養可使用 10–15 年以上
- 抗染色:維持潔白,不需頻繁漂白
- 自然美觀:量身打造,呈現真實自然效果
貼片術後保養
- 為了延長貼片壽命,請注意以下事項:
- 每日使用 非研磨性牙膏 刷牙並使用牙線
- 避免咬硬物,如冰塊或指甲
- 若有磨牙習慣,建議使用夜間護牙套
- 定期牙科檢查,確保貼片的長久性
見證差異:真實患者回饋
「我從未想過貼片能讓我的自信提升這麼多,過程非常順利,效果超出我的期待!」
「我的笑容看起來非常自然,而且不用戴牙套,牙齒就變得整齊漂亮。」
「改變實在太驚人了!現在我擁有美麗、潔白又整齊的牙齒,就像換了一個人一樣。」
立即預約貼片諮詢!
- 用全瓷牙貼片升級您的笑容。立即聯繫我們,預約專屬諮詢,踏出自信與光彩人生的第一步!
Yonsei Good Day
貼片治療案例

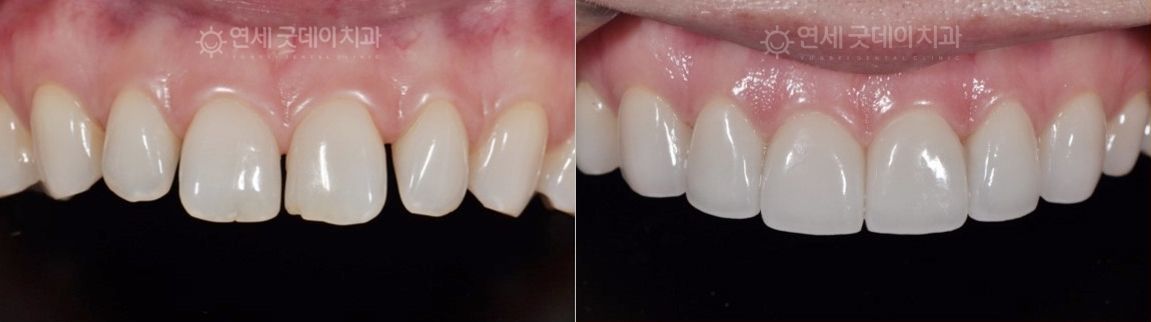
*病人的困擾
- 我的門牙長度不均,使牙齒看起來凸出。
*治療說明
- 透過貼片調整牙齒的寬度與長度,沿著理想的排列創造和諧與對稱。

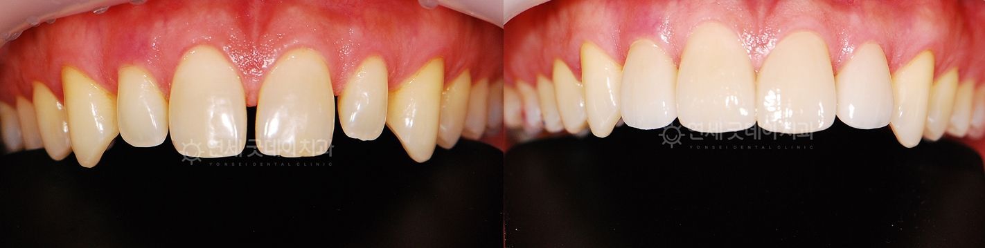
*病人的困擾
- 我的門牙中央有明顯的黑色變色,讓我感到非常不自在。
*治療說明
- 當牙齒由內部變色時,一般美白無法有效改善。我們透過貼片矯正顏色,並在維持原有牙齒形態的情況下,
進行免磨牙貼片治療。