首爾全口重建 —— 為什麼選擇韓國?
我需要為每一顆缺牙都植入植體嗎?
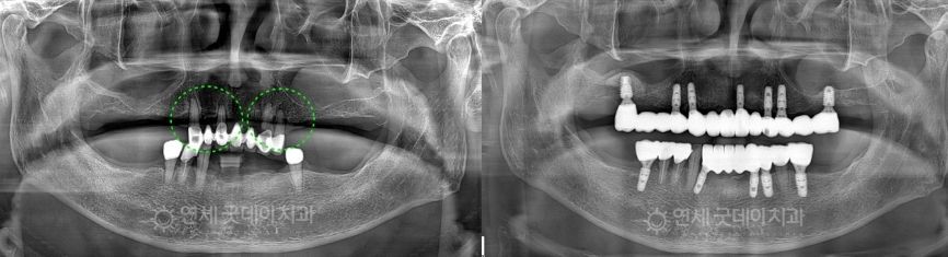
不需要!我們只在真正必要的位置植牙!
如果每一個缺牙空隙都植入植體,治療費用將成為沉重的經濟負擔。
即使是在大多數牙齒缺失、看似需要全口植牙的情況下,
我們也僅會在
必要的位置 植入植體,
再透過牙橋等贋復物連接,
即可達到穩定、經濟,且咀嚼能力接近自然牙的治療效果。
當然,如果還有哪怕只剩下一顆自然牙,
我們也會優先採取保守治療,盡力將其保存,
再來考慮是否需要植牙。

治療方案一
傳統全口植牙
傳統全口植牙雖然初期費用較高,
但能長期使用,並提供最接近真牙的自然咀嚼功能。
因此,「最大化植牙」或「全弓植牙」通常被視為最佳選擇。
不過,一般成年人上顎有 14 顆牙,下顎也有 14 顆牙,
合計共 28 顆牙齒。
若是每一顆缺牙都進行植牙,治療費用將變得過於沉重。
這就是為什麼我們會根據患者的口腔狀況及多種個別因素,
來尋找合理、可行的治療方案。
我們建議您預約本院進行深入諮詢,
以判斷最適合您的治療方式。

治療方案二
植牙支持式活動假牙
此方式是在上顎植入 4 顆植體,下顎植入 2–4 顆植體,
再將可拆卸式假牙牢固地固定於植體之上。
植牙支持式活動假牙能解決傳統假牙常見的不便,
如
鬆動、進食時滑動、佩戴不適 等問題,
同時相比傳統全口植牙,大幅降低費用負擔。
這是一種
兼具經濟性與穩定性 的治療選擇,
能有效提升生活品質。


治療方案三
全口活動假牙
若整體口腔健康狀況不足,或無法進行植牙手術時,
全口假牙依然能夠恢復完整的咀嚼功能。
在
延世Good Day牙科,我們使用
數位口掃技術與負壓吸附設計 製作假牙,
能夠根據每位患者的口腔狀況精準量身訂製,
確保舒適貼合、減少疼痛並快速適應。
我們製作的假牙不僅自然服貼,
還由專業牙技師細緻重現牙齒與牙齦的顏色與形態,
使其外觀盡可能逼真,接近真牙的美觀效果。

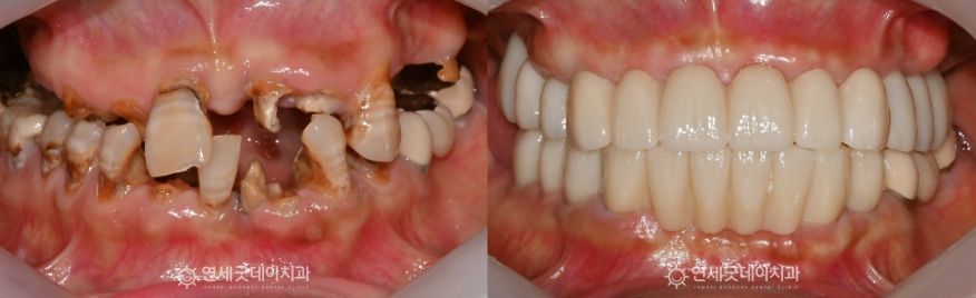
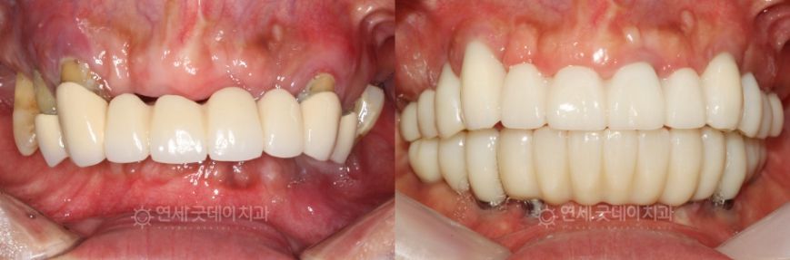
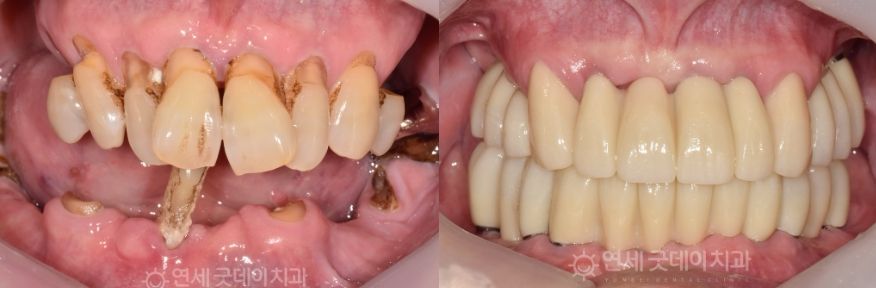
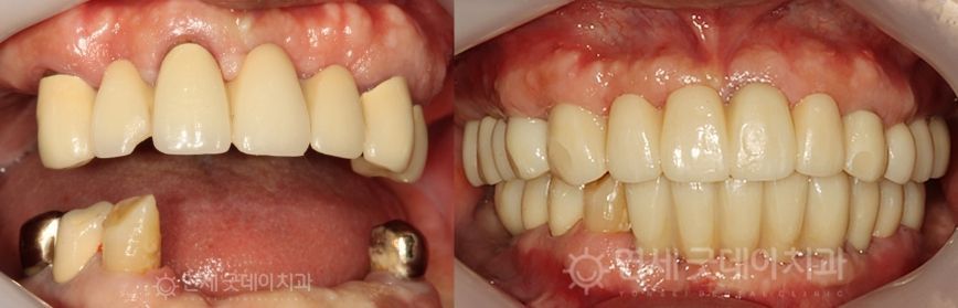
Case Review




Full Mouth Implant Before & After








