江南牙齒矯正
延世GOOD DAY牙科診所的全方位矯正治療
透過先進的齒顎矯正治療,實現整齊健康的笑容

什麼是齒顎矯正治療?
齒顎矯正專注於診斷與治療各種牙齒不正與咬合異常,例如:
✅ 牙齒擁擠或歪斜
✅ 截咬(深咬)、反咬(地包天)、交叉咬合
✅ 牙縫過大
✅ 下顎或上顎錯位(咬合不正)
透過矯正治療,不僅能改善口腔功能、預防未來牙科問題,
同時也能大幅提升自信笑容。
我們的矯正治療服務
在 延世GOOD DAY牙科診所,我們依據不同需求與生活型態,提供多樣化的矯正方案:
✔️
傳統金屬牙套 —— 臨床驗證有效,適合嚴重牙齒不正與咬合矯正。
✔️
陶瓷牙套 —— 使用牙齒顏色的透明托槽,更加低調、不顯眼。
✔️
透明隱形牙套(Clear Aligners) —— 可拆卸、幾乎隱形的矯正方式,舒適又美觀。
✔️
維持器 —— 在矯正治療後使用,保持牙齒排列、防止復發。
📅 立即預約您的專屬矯正諮詢
矯正治療流程
01. 初診諮詢
安排專業矯正檢查,評估牙齒排列狀況並制定合適的治療計劃。
02. 數位影像 & 治療規劃
利用
數位X光與3D影像技術,精準設計客製化的矯正計劃,確保效果並降低不適感。
03. 矯正治療開始
配戴牙套或隱形牙套後,透過定期回診與調整,逐步改善牙齒排列,達到理想笑容。
04. 維持 & 長期護理
治療結束後,專屬維持器能保持矯正成果,確保新笑容能夠長久維持。
為什麼選擇延世GOOD DAY牙科診所進行矯正?
✅
專業矯正醫師團隊 —— 擁有多年臨床經驗與高階矯正技術。
✅
尖端數位技術 —— 數位掃描、3D影像、現代矯正器材,精準高效。
✅
舒適導向治療 —— 量身定制,重視患者舒適與效果。
✅
江南便捷地點 —— 位於首爾核心地帶,交通便利,服務國際患者。
在
延世GOOD DAY牙科診所,我們相信:
整齊的牙齒,就是健康的笑容。
無論您需要傳統牙套、隱形矯正,或其他齒顎矯正方案,
我們的專業團隊都致力於以病患為中心,提供卓越成果。
📅
立即預約您的矯正諮詢,邁向完美笑容的第一步!
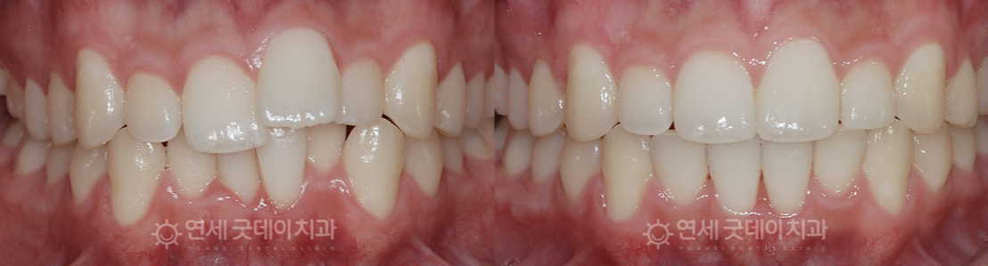
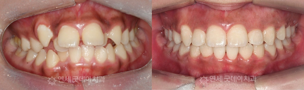
治療前後對比



