首爾領先牙科診所
YONSEI
GOODDAY
DENTAL CLINIC
擁有超過13年的臨床經驗,Yonsei Good Day Dental Clinic 提供專業且高品質的牙科醫療服務。我們在良才站與水西站附近設有兩間交通便利的分院,方便患者就診。
由12位專科牙醫組成的專業團隊,提供包含一般牙科、美學治療、齒顎矯正及牙科植牙等全方位診療服務,讓您在同一地點即可完成所有牙科治療需求。
🦷 立即預約笑容諮詢
YONSEI GOOD DAY DENTAL CLINIC
- 專業技術:超過18年的先進牙科治療經驗
- 尖端科技:使用顯微鏡等頂級設備進行精密手術
- 全方位照護:多專科團隊提供廣泛的服務範圍
- 即時解決方案:如快速骨移植和當美白等治療
- 舒適體驗:無痛及鎮靜麻醉系統
- 個人化照護:院內客製化技工所提供量身訂製的牙科修復

GOODDAY 好日子特殊治療項目

Yonsei Good Day Dental 每年完成超過400例治療案例,並榮獲 Invisalign 黑鑽級(Black Diamond)認證資格,展現其在隱形矯正領域的專業實力與豐富臨床經驗。
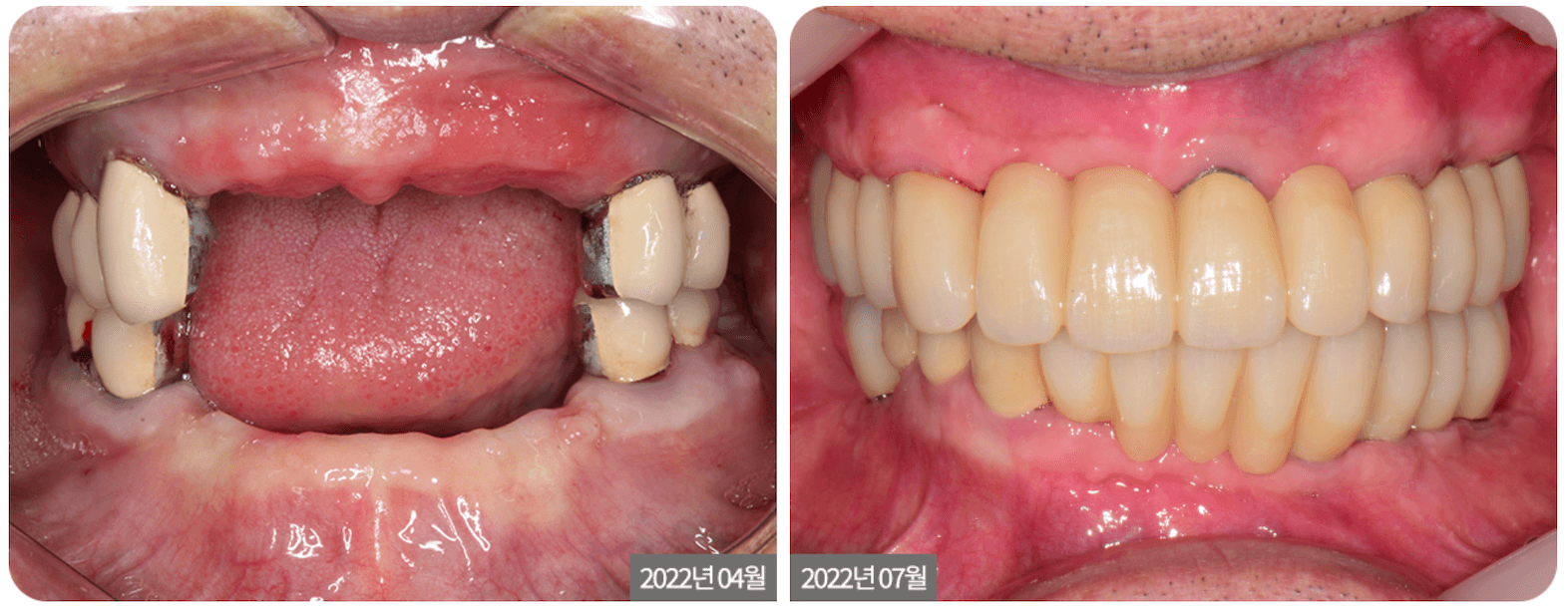
前後對比
植體
牙齒矯正
醫療團隊
我們提供全面的牙科服務,包括一般牙科、牙齒矯正、美容牙科、口腔外科、根管治療以及植牙治療。
我們接受多種國際醫療保險,為海外患者提供便利,並為來自世界各地的病患營造溫馨、友善的就診環境。
作為一個專業且敬業的牙科醫療團隊,我們致力於提供卓越的醫療品質,提升您的口腔健康與整體幸福感。

朴正哲醫師
牙周病學及公共衛生牙科專科醫師
學歷與經歷
- 牙周病學與公共衛生牙科專科醫師
- 畢業於延世大學牙醫學院
- 於延世大學牙醫研究所完成牙周病學碩士學位
- 獲得延世大學牙周病學牙科博士(DDS, PhD)學位
- 於延世大學世福蘭斯醫院完成實習及牙周病專科住院醫師訓練
- 完成哈佛大學 Derek Bok 教學與學習中心之高等教育師資培訓課程
- 首位獲得「安德烈·施羅德研究獎」(植牙學界諾貝爾獎等級)的亞洲學者
- 榮選為 ITI Korea Fellow(韓國牙醫前 0.01%)
- 大韓牙周病學會正式會員
- 大韓口腔顎面植體學會終身會員
- 前 延世大學牙醫院 臨床研究教授
- 前 檀國大學 牙周病學系 主任兼副教授
- 英國倫敦大學學院(UCL)Eastman Dental Institute 訪問及榮譽教授
- 美國紐約州立大學水牛城分校牙醫學院 訪問教授
- 現任 《Journal of Periodontal and Implant Science (JPIS)》副主編,大韓牙
- 病學會出版
- 現任 大韓口腔顎面植體學會 卓越植牙委員會 委員
- 現任 天主教大學醫學院 兼任教授

金鎮旭醫師
齒列矯正學及公共衛生牙科專科醫師
學歷與經歷
- 齒顎矯正學與公共衛生牙科專科醫師
- 畢業於延世大學牙醫學院
- 於延世大學牙醫研究所取得齒顎矯正學碩士學位
- 於延世大學世福蘭斯醫院完成實習及齒顎矯正專科住院醫師訓練
- 延世大學矯正研究學會正式會員
- 大韓齒顎矯正學會(KAO)專科認證會員
- 世界齒顎矯正醫師聯盟(WFO)國際會員
- Invisalign 認證醫師
- 前 大韓齒顎矯正學會正式會員
- 現任 大韓齒顎矯正學會 法律委員會 委員

崔世經 醫師
口腔顎面外科 專科醫師
學歷與經歷
- 韓國保健福祉部認證 口腔顎面外科專科醫師
- 延世大學 牙醫學院 畢業
- 延世大學 牙醫研究所 口腔顎面外科 碩士
- 延世大學 世福蘭斯醫院 口腔顎面外科 實習與住院醫師
- 韓國顳顎關節學會(TMJ)認證醫師
- 韓國口腔顎面外科學會 正式會員
- 韓國顎面整形重建外科學會 正式會員及認證醫師
- 延世大學 醫學院 兼任教授(現任)
為什麼選擇延世 Good Day 牙科?
🌎 真正的全球牙科醫療
在延世好日子牙科診所,我們結合先進的韓國牙科技術與國際專業知識,成為全世界患者信賴的目的地。
🎓 國際培訓與認證
我們的醫師擁有全球頂尖機構的高等學位,參與國際研究,並積極貢獻於全球牙科教育。
🌐 無縫全球後續照護(123Dentist合作夥伴)
我們與各國牙科診所合作,若您希望,我們可協助您在家附近方便地繼續後續照護。
🤝 個人化、無壓力照護
從您的首次諮詢到後續照護,我們提供完整的英語支援、透明溝通及客製化治療計畫。
🏥 最先進的設施
我們使用尖端設備提供全方位牙科服務,包括先進顯微鏡、數位掃描及鎮靜系統。
價格表
一般治療價格
| 治療項目 | 子項目 | 價格 (KRW) |
|---|---|---|
| 骨移植 | 一般骨移植 | 300k ~ 800k |
| 上顎竇提升術 | 500,000 KRW ~ 1,500,000 KRW | |
| 植牙 | 韓國品牌:Osstem, Dentium | 1,200,000 KRW |
| 國際品牌:Straumann | 2,000,000 KRW ~ 2,300,000 KRW | |
| 假牙 | 假牙 | 1,500,000 KRW ~ 1,700,000 KRW |
| 牙齒矯正 | 全口矯正 | 4,500,000 KRW ~ 7,500,000 KRW |
| 局部矯正 | 1,700,000 KRW ~ 4,500,000 KRW | |
| 第一期矯正(兒童) | 1,000,000 KRW ~ 3,500,000 KRW | |
| 隱適美 Invisalign | 3,000,000 KRW ~ 6,700,000 KRW | |
| 牙冠 | 氧化鋯 | 650,000 KRW ~ 800,000 KRW |
| 黃金 | 1,000,000 KRW | |
| PFM(瓷熔金屬) | 550,000 KRW ~ 600,000 KRW | |
| 修復治療 | 嵌體 Inlay | 300,000 KRW ~ 550,000 KRW |
| 樹脂補牙 | 100,000 KRW ~ 500,000 KRW | |
| 美學治療 | 牙齒美白 | 300,000 KRW ~ 500,000 KRW |
| 貼片(瓷貼片) | 550,000 KRW ~ 600,000 KRW | |
| 露齦笑 | 唇位下移手術 | 1,200,000 KRW |
| 牙齦肉毒桿菌 | 100,000 KRW ~ | |
| 牙齦切除術 | 每顆牙 70,000 KRW / 前牙區 300,000 KRW | |
| 顳顎關節(TMJ) | 咬合板 | 800,000 KRW |
| 牽引治療 | 800,000 KRW | |
| 磨牙症 | 咬合板 | 400,000 KRW ~ 600,000 KRW |
| 肉毒桿菌 | 100,000 KRW ~ 150,000 KRW | |
| 鎮靜治療 | 靜脈鎮靜 | 300,000 KRW |
| 口服鎮靜 | 200,000 KRW | |
| 智齒拔除 | 非手術拔除 | 250,000 KRW |
| 手術拔除 | 500,000 KRW | |
| 口腔護理 洗牙 + TBI | - | 100,000 KRW |

醫師信賴的牙科診所
最受醫師信任的診所!
在前來延世好日牙科診所的患者中,有相當一部分是現任的醫療專業人士(醫師、牙醫師、藥師、護理師等)。
當醫療專業人士為自己或家人選擇醫院時,
並不會單純因為人際關係或熟人介紹而決定。
由於他們非常了解醫療本質,會特別重視:
- 正確的診斷
- 精湛的手術技術
- 高度的安全性
因此他們會慎重選擇一間真正值得信賴的診所。
延世好日牙科診所將持續以最高的標準提供卓越的醫療服務, 作為一間由醫療專業人士親自選擇、接受治療並推薦的診所。








































