江南隱適美 —— 隱形舒適,輕鬆矯正牙齒
在首爾延世GOOD DAY牙科診所,透過隱適美打造完美笑容
如果您想在沒有金屬牙套的情況下矯正牙齒,隱適美 (Invisalign) 就是完美的選擇。
在首爾江南的延世GOOD DAY牙科診所,我們提供量身定制的隱適美療程,
透過透明、可拆卸的牙套,幫助您輕鬆獲得整齊、自信的笑容。
與傳統牙套不同,隱適美使用幾乎隱形的牙套,
能在不影響日常生活的情況下,改善牙齒歪斜、牙縫過大、以及咬合不正等問題。
結合先進的 數位掃描技術 與 個人化治療計劃,
我們確保您的矯正過程 舒適、有效且低調,
讓您在矯正過程中依然保持自信。

為什麼選擇隱適美?
隱適美 (Invisalign) 兼具美觀與功能優勢,
是青少年與成年人追求低調矯正的首選方案。
✅
幾乎隱形 —— 透明牙套,矯正過程不易被察覺。
✅
舒適貼合 —— 無金屬線或托槽,減少摩擦與不適。
✅
可拆卸,方便自在 —— 可正常進食、刷牙與使用牙線,無生活限制。
✅
效果更快 —— 視個案狀況,矯正時間可能比傳統牙套更短。
✅
客製化療程 —— 透過 3D 數位掃描,量身訂製專屬牙套。
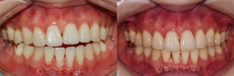
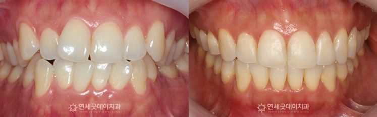
隱適美能改善什麼問題?
✔️
牙齒擁擠 —— 排整重疊或歪斜的牙齒,使齒列更整齊。
✔️
牙縫過大 —— 關閉不必要的縫隙,讓笑容更均衡。
✔️
深咬 / 反咬(Overbite & Underbite) —— 改善咬合,提升功能與舒適度。
✔️
交叉咬合 / 開咬(Crossbite & Open Bite) —— 調整牙齒正確位置,預防顎關節問題。
✔️
輕度至中度齒列不正 —— 讓牙齒恢復自然、對稱的排列。
隱適美治療流程:逐步說明

01. 初診諮詢與數位3D口腔掃描
使用先進的 iTero® 口腔掃描儀,精確捕捉患者牙齒的 3D 影像。
此高精度、零誤差的掃描能提升矯正器製作的準確性,並讓患者在治療前即能預覽牙齒及臉部輪廓在治療後的變化。


02. 延世Good Day牙科與隱適美總部之間的治療藍圖設計
我們的齒顎矯正專科醫師會將詳細的治療需求傳送至隱適美總部,用於製作矯正器及規劃治療方案。
根據這些指示,隱適美的技術人員會製作專屬客製化牙套,並將治療計畫更新至其軟體伺服器中。

03. 隱適美總部以3D列印製作客製化矯正器
依據延世 Good Day 牙科齒顎矯正專科醫師所設計的治療方案,隱適美總部利用先進的 3D 列印技術製作專屬的客製化牙套。
這些牙套會依治療階段分批製作並單獨包裝後寄送。矯正專科醫師會一次提供患者約 3–4 組牙套,以便逐步進行治療。

04. 隱適美治療開始
患者通常會被建議每兩週更換至下一組牙套,直到牙齒移動至理想的最終位置。
根據個人口腔狀況,也可能建議每週更換一次。由於僅需每 6–8 週回診一次,患者能享有相對彈性的治療行程安排。
為什麼選擇延世 Good Day 牙科進行隱適美治療?
✅
認證的隱適美專科醫師
具備豐富經驗,能處理從簡單到複雜的齒顎矯正案例。
✅
先進3D數位掃描技術
透過精準的數位取模,提供完美貼合的客製化牙套體驗。
✅
舒適且隱形的治療
兼具美觀、無痛感、無負擔的矯正療程。
✅
專屬客製化治療方案
依據個人口腔狀況與生活習慣量身打造。
✅
江南便利地點
位於首爾市中心,提供頂級齒顎矯正醫療服務。
✅
Black Diamond & 頂級合作醫院
延世 Good Day 牙科憑藉大量臨床案例與專業矯正技術,榮獲韓國領先診所之一的認可。
在 延世 Good Day 牙科診所,我們致力於透過專業客製化的隱適美治療,幫助您實現理想笑容。無論是小幅度調整或是全面性笑容矯正,我們的專科醫師都將提供最高水準的醫療照護,確保卓越的治療成果。

常見問題 (FAQ)
1. 隱適美治療需要多久?
治療時間依個人牙齒狀況與複雜度而異,一般約需 6 至 18 個月。
2. 隱適美會痛嗎?
隱適美比傳統牙套舒適得多,但在更換新牙套時,因牙齒逐漸移動,可能會感到些微壓力。
3. 我每天要戴多久牙套?
每天應配戴 20–22 小時,僅在進食、飲用非水類飲品及進行口腔清潔時取下。
4. 戴著隱適美可以吃東西或喝飲料嗎?
除了喝水以外,進食或飲用任何飲品前都必須取下牙套,以避免染色或損壞。
5. 隱適美會影響講話嗎?
初期可能會有短暫的適應期,但大多數患者能很快習慣,並不會造成長期的說話問題。
6. 我多久需要回診一次?
大部分患者每 6–8 週回診一次,以便檢查治療進度並進行必要調整。
7. 戴隱適美時可以美白牙齒嗎?
可以!部分患者會選擇在治療期間進行牙齒美白,隱適美牙套甚至能幫助均勻分布美白凝膠。
8. 完成隱適美後需要戴維持器嗎?
需要。維持器能幫助固定牙齒,避免回復到原本的位置。
9. 隱適美適合青少年嗎?
適合!「Invisalign Teen」專為年輕患者設計,並設有配戴指示功能以便追蹤。
10. 如何清潔隱適美牙套?
可使用溫水搭配軟毛牙刷清潔,或使用隱適美專用清潔晶體,保持牙套透明無異味。

