首爾開咬治療與 為什麼選擇 Yonsei Good Day 牙科診所?
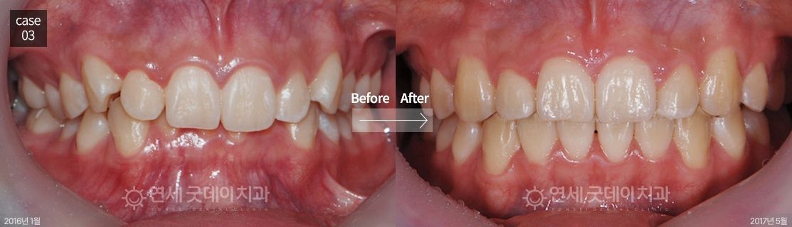
上排牙齒過度覆蓋下排牙齒的深咬合?
下巴後縮可能讓臉看起來更短
當下顎較小時,通常被稱為下巴後縮。
而上排牙齒覆蓋下排牙齒程度超過正常範圍的咬合狀態,稱為深咬合(深覆咬合)。
即使牙齒排列看起來整齊,下排牙齒仍可能過度被上排牙齒覆蓋,從而使臉部看起來較短。在嚴重情況下,下排前牙的邊緣甚至可能接觸到牙齦或口腔黏膜。
如果長期不進行改善或治療,除了可能造成美觀上的影響(例如幾乎看不到下排牙齒)之外,還可能引發牙周疾病、牙齒損傷、磨牙症(Bruxism)以及顳顎關節(TMJ)問題。




透過將下排牙齒向前旋轉調整,可以改善下巴後縮(無下巴)的外觀。
如果下顎較圓、缺乏立體感,或相較於上顎偏小,可利用迷你骨板(Miniplate)治療,將上顎稍微向後上方移動,同時引導下顎向前調整。
之後再透過下排牙齒的前向旋轉,對牙齒角度進行精細調整以完成治療。
此過程能自然增加下顎的立體感與支撐度,並有效改善下巴後縮(無下巴)的外觀。

