首爾的傳統牙套治療 & 為什麼選擇韓國?
費用:到底能便宜多少?
📍
韓國一般價格:在首爾接受全口(上下顎)傳統牙套治療,約
₩5,000,000 – ₩8,000,000。
📍
國際比較:
- 澳洲/美國:約
$4,500 – $7,000+
👉 韓國的全口矯正費用通常比許多西方國家便宜 20–50%。
為什麼在韓國更實惠?
✅
龐大的患者量 & 醫療觀光
診所同時服務本地與國際患者,能分攤成本。
✅
高效率、科技驅動的流程
數位影像、CAD/CAM、韓國診所特有的「月固定診療費」制度 → 節省時間與人力。
✅
較低的營運與人力成本
與西方相比,在韓國經營診所更具成本效益,同時仍維持高品質水準。
✅
競爭激烈但品質保證
診所透過最新科技與專業培訓來脫穎而出,提升性價比。
延世 Good Day 牙科診所(Good Day Smile, 江南)
- 專業矯正團隊:提供傳統金屬牙套,醫師精通數位影像與雷射矯正技術。
- 先進診療設備:配備 CBCT 3D 影像、CAD/CAM、數位 X 光、雷射牙科設備,確保精準高效治療。
- 專科醫師資歷:由延世大學出身、具國際認證經驗的牙科專家領導。
- 以患者為中心:提供國際患者支援、接受海外保險、現代化設施與舒適環境。
平均費用參考(延世 Good Day 牙科)
- 全口矯正:₩4,700,000 – ₩5,200,000
- 部分矯正:₩2,000,000 – ₩3,400,000
(包含牙套、維持器、拔牙及其他相關治療)
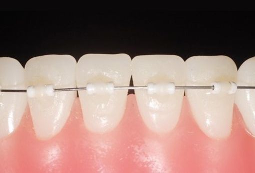
Good Day 傳統矯正器

達蒙自鎖矯正
與需要使用橡皮圈或金屬結紮絲固定弓線的傳統矯正器不同,此系統採用滑動門設計的陶瓷自鎖托槽,可視為 Clippy-C 的升級版本。
✅ 陶瓷托槽本體 + 陶瓷滑蓋
✅ 托槽之間摩擦力較低,治療過程相對不適感較少
✅ 相較於傳統矯正系統,治療時間更短
✅ 在目前傳統矯正托槽中,屬於較具美觀性的選擇之一

S-line陶瓷自鎖矯正
採用滑動門設計的陶瓷自鎖托槽系統,顏色接近牙齒本色,在矯正過程中具有良好的美觀效果。
✅ 流線型人體工學設計,可減少與口腔內部的摩擦
✅ 滑動門結構可提供均勻穩定的力量固定弓線
✅ 調整過程簡化,有助於減少回診次數並縮短整體治療時間

Clippy-C自鎖矯正
一種金屬自鎖矯正系統,兼具陶瓷矯正的美觀優勢與金屬裝置的耐用性。由於摩擦力較低,牙齒移動時通常不適感較少。
✅ 陶瓷托槽本體 + 金屬滑蓋
✅ 托槽之間摩擦力較低,可減少疼痛並提升牙齒移動效率
✅
目前最廣泛使用的矯正裝置之一

陶瓷矯正器
為了改善傳統金屬矯正器的美觀問題,將金屬托槽替換為牙齒色澤的陶瓷托槽,使整體外觀更加自然。
✅ 陶瓷托槽本體 + 金屬弓線
✅ 顏色接近牙齒,不易被察覺
✅ 有利於精細的牙齒排列調整
※ 由於陶瓷屬於類似瓷器的材質,托槽偶爾可能出現破裂情況

組合式矯正
一種組合式矯正系統:
上排牙齒採用舌側矯正(牙齒內側)以提升美觀性,下排牙齒則使用唇側陶瓷矯正器,因被下唇部分遮擋而不易被注意。
✅ 相較上下排皆使用舌側矯正,費用更為經濟
✅ 相比傳統矯正,外觀更具美觀性
✅ 患者通常能較快適應矯正裝置

Clippy-L舌側隱形矯正
✅ 尺寸約為一般舌側托槽的
1/3,美觀性極佳
✅ 裝置位於牙齒內側,不會造成嘴唇外凸
✅ 可進行完全隱形的矯正治療
✅ 特別受到社交與工作活動頻繁人士的青睞

透明矯正
一種不使用金屬弓線與托槽的牙齒矯正方式,透過透明牙套來逐步移動牙齒。牙套由薄且透明的塑膠材質製成,並設計為可自行拆卸的矯正裝置。
✅
可自行拆戴,衛生且容易清潔與管理
✅
需要時可取下
✅ 與傳統矯正相比,適應期較短
※ 由於牙齒移動能力有限,並非所有案例都適用,因此必須先與矯正專科醫師進行諮詢評估。

隱適美透明矯正
一種高階可拆式透明牙套系統,可有效治療咬合不正、暴牙等較複雜的矯正案例。
✅ 改良一般透明牙套限制的高階矯正系統
✅ 初期不適感相對較低
✅ 每日需配戴
20–22 小時,約
每兩週更換一副牙套
✅ 相較傳統矯正,可減少回診次數

MTA局部矯正
一種局部矯正治療,不移動後牙,只針對排列不整齊的前牙進行矯正。透過小型圓形管與細弓線,可有效快速地排列前牙。
✅ 裝置體積小,不易被察覺
✅ 配戴舒適,對發音影響較小
✅ 細弓線可加快前牙區域的牙齒移動
※ 由於牙齒移動範圍有限,並非所有案例皆適用,需由矯正專科醫師評估。
為什麼選擇 Good Day?
- 價格透明(包含托槽、鋼絲更換、每月回診)。
- 專業矯正治療 + 頂尖科技。
- 全球標準的美學與口腔健康理念。
- 外國患者友好(保險適用、英文/韓文支援)。
✨ 最後結論
- 是的!韓國的傳統牙套治療價格比西方國家
便宜高達 50%,同時維持頂尖的醫療水準。
若您正在考慮海外治療,延世 Good Day 牙科診所能為您提供 價格實惠、品質卓越與便利無縫的治療體驗。
