江南牙科植體
在延世GOOD DAY牙科診所,透過專業植牙重拾笑容
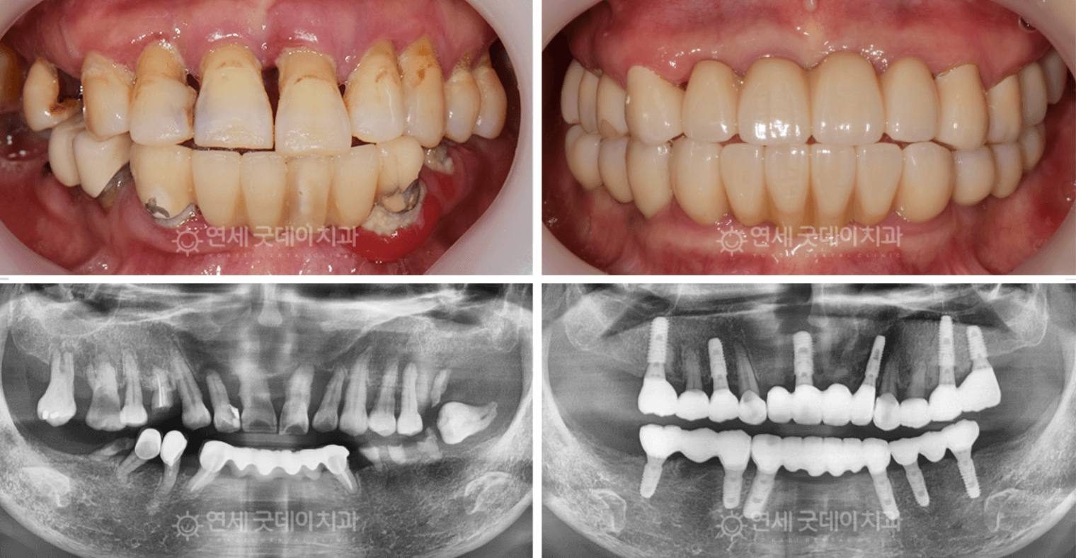
缺牙可能會影響您的自信、口腔健康以及整體生活品質。位於首爾江南的延世GOOD DAY牙科診所,提供先進的牙科植體,作為替代缺失或受損牙齒的長期解決方案。我們經驗豐富的植牙專科醫師,運用最新科技,為您打造自然、美觀、耐用且功能完善的牙齒修復,量身訂製符合您的需求。
延世Good Day獨家植牙專業
20多年臨床經驗保障長期成功 —— 注重堅固的骨支撐與穩定的牙齦基礎
植牙不僅需要高品質的材料,更需要臨床經驗豐富的醫師,才能確保效果持久,維持20年以上。
在延世Good Day牙科診所,我們直接採用大學醫院等級的手術流程。
即使是八、九十歲的高齡患者,或是患有高血壓、糖尿病、骨質疏鬆、骨量不足等以往被告知無法植牙的情況,也在我們這裡獲得了卓越的治療效果。
透過全面考量患者健康狀況的個人化方案,我們自豪地呈現 延世Good Day的5大核心植牙技術,為您帶來卓越且長期穩定的成果。
重點一
大學醫院專任教授級專科醫師,並培育全球牙醫專才
延世Good Day醫療團隊獲國內外植牙學會高度認可
在延世Good Day牙科診所,僅有曾任大學醫院教授的專科醫師親自診療。
我們的醫師團隊擁有解剖學、組織再生原理、贋復學、咬合學以及微創技術等專業知識,能夠提供最高水準的治療服務。
此外,我們提供 5年保固,確保患者在治療後能長期安心。
(牙冠與植體零件於5年內皆享免費保固)
這不僅減輕患者的經濟負擔,也充分展現我們醫師對治療品質的信心。

延世Good Day牙科團隊被公認為韓國領先的植牙專家之一,並持續培育來自世界各地的牙醫師。
作為第一位獲得 安德烈‧施羅德研究獎(植牙界的「諾貝爾獎」)的東亞醫師,我們透過大量臨床數據與長期研究成果,建立了先進而深厚的專業實力。

學術會議
多場國際植牙學術會議特邀講者
我們積極與來自美國、日本、澳洲、泰國、越南等地的牙醫師分享先進的植牙治療技術,並持續引領學術研究與教育,成為韓國代表性的植牙專家之一。
重點二
數位化精準診斷系統 —— 即使僅有 1% 的保牙可能也不放棄
我們秉持大學醫院式的協作體系,由保存科與贋復科專業醫師共同合作,
優先考量保存患者的天然牙齒。
在延世Good Day牙科,我們會仔細區分哪些牙齒可透過保存治療挽救,
哪些必須拔除,並據此提供高效率且兼顧經濟性的治療方案。
因此,在任何植牙手術前,我們都投入大量時間與心力,
利用先進的數位診斷系統徹底分析患者的口腔狀況。
我們的目標是:僅在最準確的位置,放置最少數量的植體,以確保長期的穩定性與功能性。
這正體現了延世Good Day對患者最真誠的承諾。
重點三
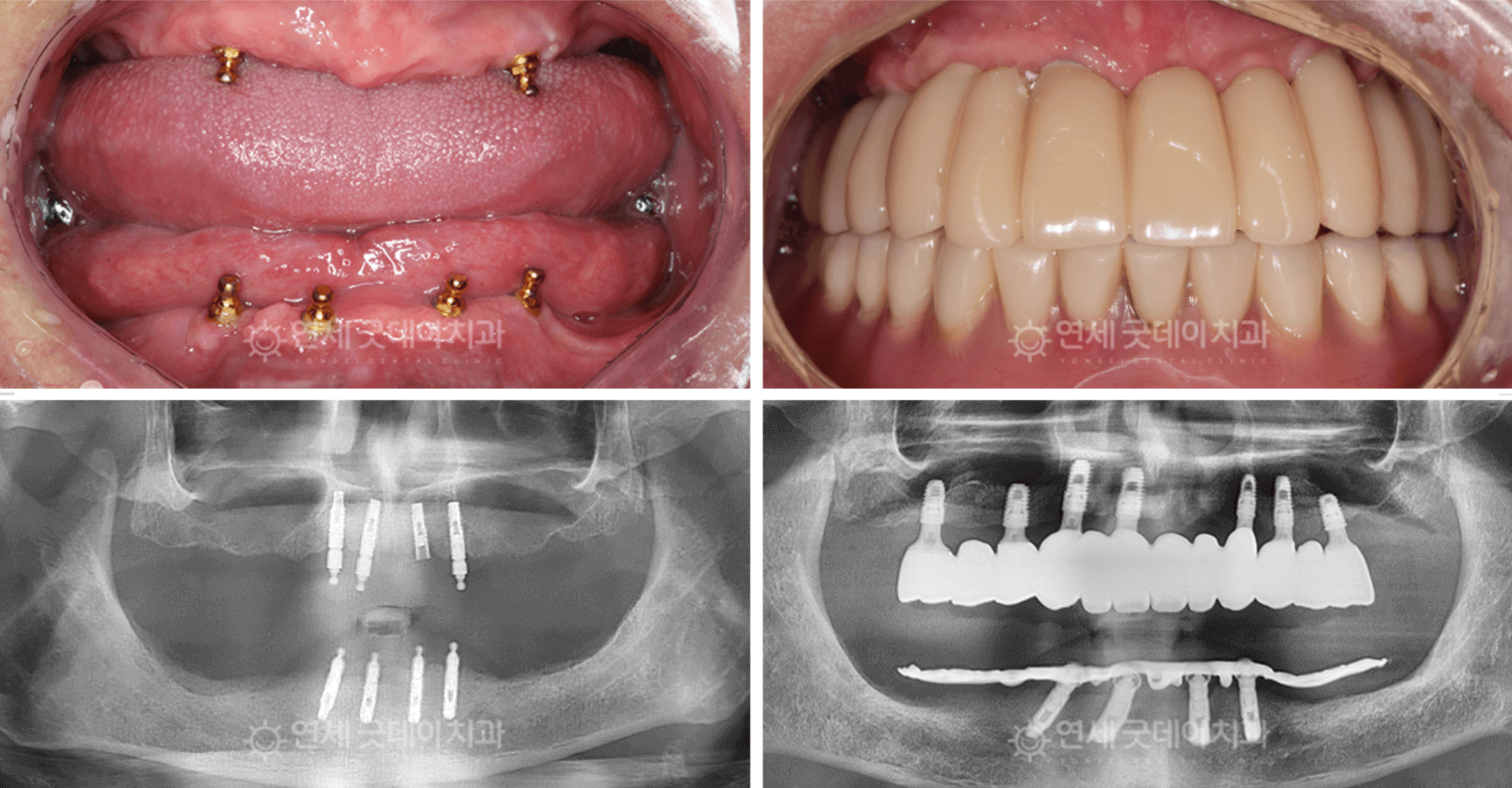
快速骨移植術 (i-GBR) —— 將骨質流失降到最低
延世Good Day獨家骨移植技術,並已於 2023 年 Dental News 發表。
植牙能否長期成功,關鍵在於:
「是否擁有足夠厚度的骨質與堅實的牙齦組織?」
透過我們的 快速骨移植術 (i-GBR),能在垂直與水平兩個方向同時建立厚實而堅固的基礎。
即使遇到骨質嚴重吸收、幾乎接近神經的位置,
快速骨移植依然能夠實現穩定的植體植入與優異的治療效果,
同時大幅增加骨量厚度。

"When Rapid Bone Grafting is Performed on the Day of Tooth Extraction"
重點四
為糖尿病患者、骨質疏鬆患者、高齡長者(80~90歲)、以及翻修手術提供專屬解決方案
UV 表面處理技術
UV/等離子體表面活化
透過將 172nm 波長的紫外線與等離子體應用於植體表面,
可去除植體表面的有機物與雜質,
使血液更容易附著,進一步提升骨整合的效率。
這項表面活化處理能讓植體更快速地與周圍骨骼結合,
促進骨再生速度,加快恢復週期。

模擬手術以判斷最佳的植體植入路徑
重點五
無痛麻醉系統 —— 減輕牙科焦慮
對於因牙科焦慮而避免或延後治療的患者,
我們會先以
無痛麻醉 開始療程,減輕不適感。
另外,若患者有需求,也可選擇
舒眠鎮靜麻醉,
在如同睡眠般放鬆、毫無痛感的狀態下完成治療,
享受安全、舒適的診療體驗。

什麼是牙科植體?
牙科植體是由
具生物相容性的鈦金屬 製成的人造牙根,透過手術植入下顎或上顎骨中。
它們能為牙冠、牙橋或假牙等人工牙齒提供堅固且穩定的基礎,恢復自然牙齒的外觀、功能與強度。
✔️
永久且持久 —— 在妥善護理下,植體可使用一生。
✔️
外觀與感覺自然 —— 專屬設計,與真牙顏色、形狀及功能完美匹配。
✔️
改善咀嚼與發音 —— 恢復完整咬合力,進食舒適,說話清晰。
✔️
防止骨質流失 —— 刺激顎骨,避免萎縮並維持臉部結構。
我們的植牙服務
在 延世GOOD DAY牙科診所,我們提供全方位的植牙解決方案:
✅
單顆植牙 —— 適合替換單一缺牙,呈現自然的修復效果。
✅
植牙支持式牙橋 —— 無需傳統牙橋即可修復多顆缺牙。
✅
全口植牙 —— 適合缺失大部分或全部牙齒的患者,提供完整解決方案。
✅
All-on-4 植牙 —— 僅需四支植體即可重建整排牙齒的革命性技術。
✅
骨移植與上顎竇提升術 —— 植牙前的預備治療,為植體建立堅實的基礎。
植牙手術流程:逐步解說
01. 初診與檢查
進行完整的牙科檢查,包括 3D 影像與數位X光,以評估骨骼結構與口腔健康狀況。
02. 植體植入
透過先進的手術技術,將植體精準地植入顎骨中。
隨著時間推移,植體會與骨頭結合(骨整合作用),確保長期穩定。
03. 癒合期與專屬修復
癒合完成後,為患者安裝客製化的牙冠、牙橋或假牙,
確保功能完整且外觀自然。


