首爾洗牙與 為什麼選擇韓國?
洗牙包含什麼內容?
韓國的專業牙齒清潔通常包括:
- 洗牙以去除牙菌斑和牙結石堆積
- 拋光以去除污漬並使牙釉質更光滑
- 口腔衛生檢查和牙齦健康評估
- 關於刷牙和使用牙線技巧的個人化建議
清潔由熟練的牙科保健師或牙醫使用超音波和手動器械進行。
為什麼韓國的洗牙更實惠?
- 診所以較低成本營運,並將節省轉嫁給患者。
- 高患者流量允許高效預約安排和降低定價。
- 許多韓國診所推廣預防性護理,使洗牙易於獲得以鼓勵定期就診。
- 數位預約系統和先進工具減少療程時間和人員開支。
- 洗牙通常與牙科檢查或檢驗以折扣價格組合提供。
為什麼選擇江南的Yonsei Good Day牙科診所?
- 使用超音波洗牙機和拋光系統提供專業洗牙。
- 包括徹底的口腔健康檢查和可選的氟化物應用。
- 清潔、現代化的診所,配有英語工作人員和便捷預約。
- 位於江南,以溫和、高效的護理而聞名。
- 適合尋求常規牙科維護的當地居民、外籍人士和遊客。
Yonsei Good Day牙科診所預防性治療
- 氟化物治療:將氟化物塗在牙齒表面以預防蛀牙或減緩其進展。
- 封填劑治療:在牙齒的咀嚼表面(如臼齒)塗上保護性塑料塗層,以幫助預防蛀牙。
- 在Yonsei Good Day牙科診所,我們通過洗牙、氟化物治療和封填劑提供預防性牙科護理。
Yonsei Good Day牙科診所的平均費用估算
- 洗牙加刷牙指導(TBI) 韓元100,000
- 我們將通過麻醉漱口為您提供真誠的治療,讓您體驗舒適無痛的洗牙。
- 附加選項:X光、牙科檢查或封填劑以折扣套餐價格提供
- 預約通常在30-45分鐘內完成,等待時間最少。
首爾的洗牙實惠、舒適且有效。像江南的Yonsei Good Day牙科診所這樣的診所使用現代化設備和訓練有素的專業人員提供高品質的預防性護理。無論您是居民還是訪問韓國,定期洗牙都是維護牙齒健康的明智且具成本效益的方式。

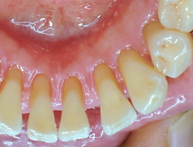
Before

After

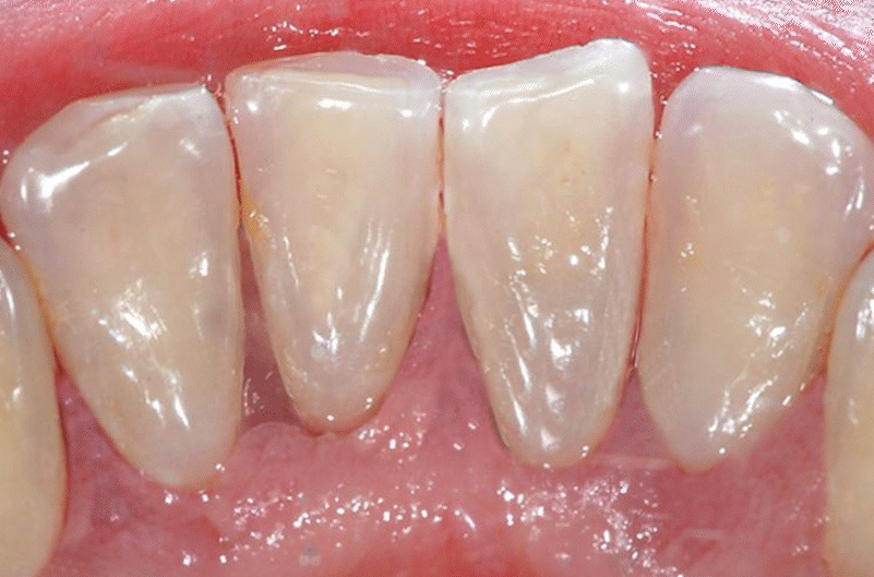
Before

After
