天然牙齒保存
治療會依照蛀牙嚴重程度,由最輕微到較複雜的方式進行:
樹脂填補 → 牙科嵌體(Inlay/Onlay)→ 牙冠。


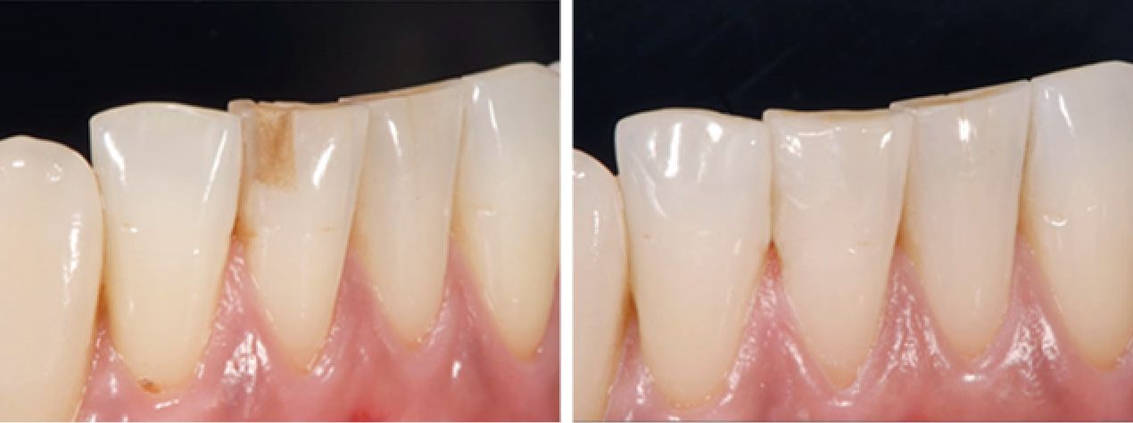
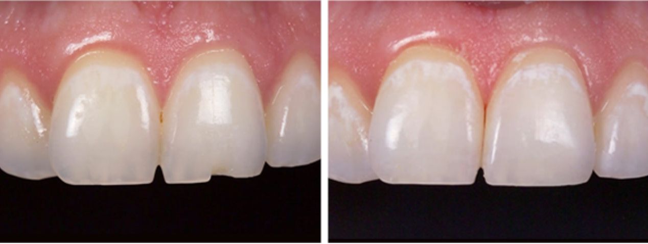
樹脂填補(Resin)
此治療方式是將蛀牙清除後,在該位置填入一種類似強化塑膠的牙色材料──「樹脂」。
樹脂填補常用於以下情況:
前牙蛀牙
不太深的臼齒蛀牙
咬合磨耗造成的凹陷
想將原本的銀粉(汞合金)填補物更換成與牙齒顏色相近的材料
此治療最大的優點是 一天內即可完成,且費用較為親民,是非常便利的修復方式。

樹脂填補治療:治療前・治療後

樹脂填補治療:治療前・治療後

樹脂填補治療:治療前・治療後

樹脂黏著修復:治療前・治療後

樹脂黏著修復:治療前・治療後
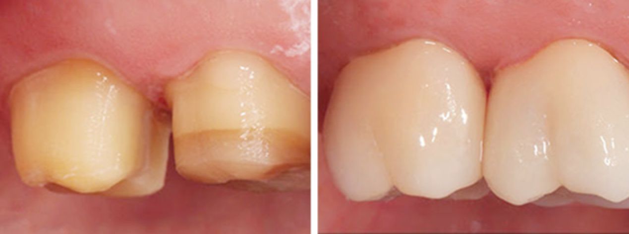
嵌體修復 Inlay / Onlay
“Inlay” 指放置在牙齒內部的修復物,“Onlay” 則是覆蓋在牙齒表面的修復物。通常 面積較小 的區域使用 inlay,面積較大 的區域使用 onlay。
兩者皆為依照蛀牙清除的範圍量身製作,再以黏著方式固定的修復治療。
在延世 Good Day 牙科,我們提供 全瓷嵌體 與 黃金嵌體 兩種材質。
•全瓷材質 與牙齒的結合力強,但可能存在破裂風險。
•黃金材質 強度佳、耐用度高,但與牙齒的黏著力可能比全瓷弱一些。
因此我們會依照蛀牙位置與修復面積,推薦最適合的材質。

陶瓷嵌體:治療前・治療後

黃金陶瓷嵌體:治療前・治療後
牙冠 Crown
當牙齒有
50%以上破損或磨耗,
或是
根管治療後牙齒變得脆弱 時,需要以牙冠全面覆蓋保護。
本院提供 金屬燒附瓷(PFM)、全瓷(鋯瓷)、黃金 等牙冠選擇。

金屬陶瓷牙冠(PFM Crown)治療前・治療後

全鋯冠(Zirconia Crown)治療前・治療後

黃金牙冠(Gold Crown)治療前・治療後

根管治療後一定要裝牙冠嗎?
是的,必須。
根管治療是將發炎或感染的牙髓完全清除,再以代替材料填補。
治療完成後,牙齒將失去營養供應,結構會變得脆弱,
就像乾枯的樹幹一樣容易斷裂。
因此必須以堅固的牙冠將其包覆,
才能維持牙齒的壽命並防止破裂。
我們建議在 根管治療完成後立即進行牙冠修復。
