治療前後對比

植牙

Side-by-side comparison of teeth before and after dental work; the after image showing whiter, fuller teeth.
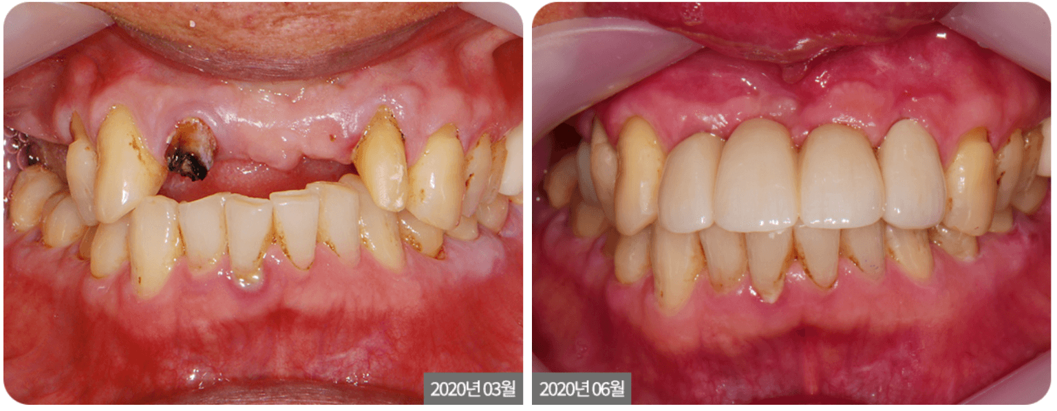
Before and after dental work: showing missing teeth replaced with new, white crowns.
Two sets of dentures, upper and lower, displayed to show before and after. The dentures are white and the gums are pink.
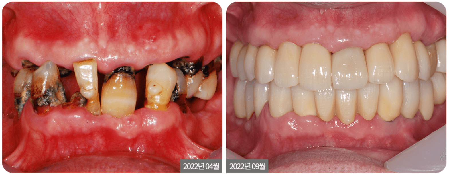
Dental before-and-after showing a mouth with decayed and missing teeth on the left, and a set of completed dental implants on the right.
Close-up of a person's mouth before and after a dental procedure. The
Before and after photos of dental work. The first shows damaged teeth, the second shows a healthy smile with white teeth.

矯正治療

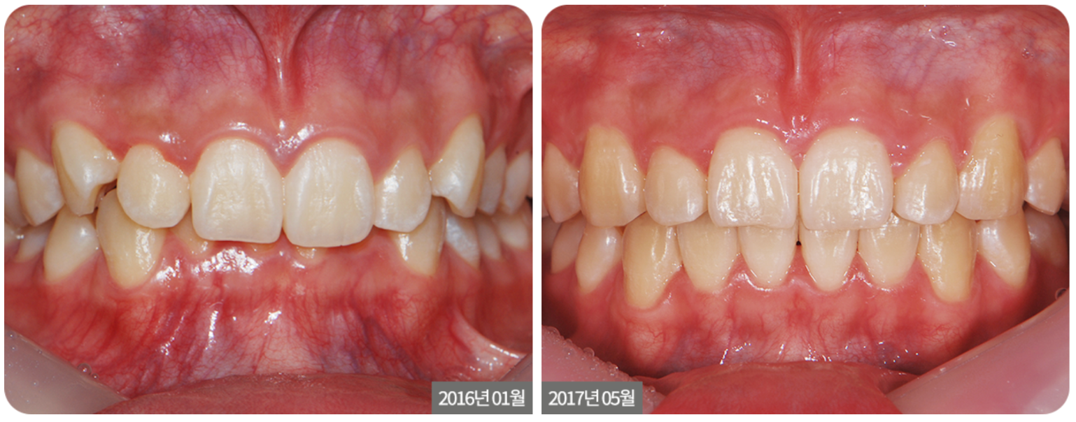
Two side-by-side photos showing a before-and-after comparison of teeth, likely after orthodontic treatment. The teeth are straighter in the second photo.
Side-by-side dental views showing crooked teeth before and after orthodontic treatment.
Before-and-after comparison of a person's teeth. The
Side-by-side comparison of teeth. The left shows crooked teeth, and the right shows straightened teeth.
Two dental images: Before and after orthodontic treatment. The
A side-by-side comparison of a person's profile before and after a cosmetic procedure, likely targeting the chin.

牙齒修型與牙齦輪廓修整

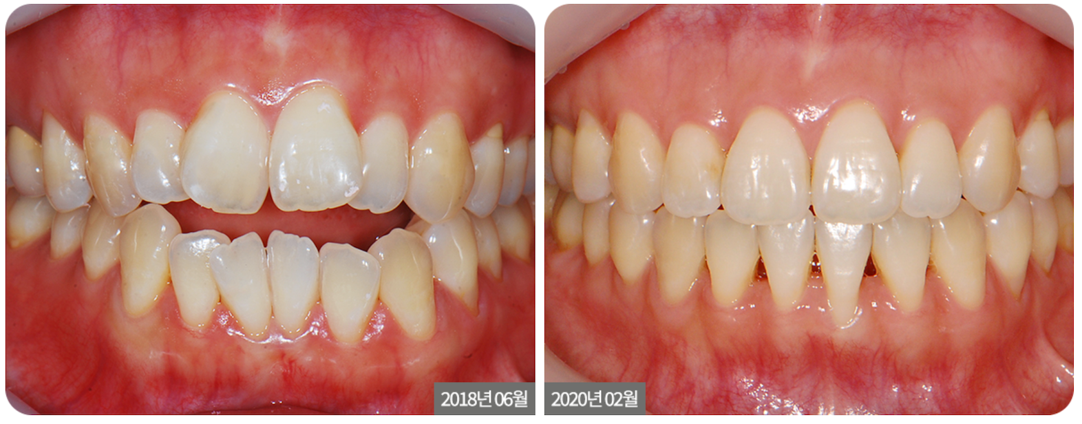
Before-and-after view of teeth with gum inflammation. Teeth are yellow with gaps and inflamed pink gums. The right side shows improved condition.
Dental images of teeth with gold crowns and a comparison of the teeth before and after a procedure, showcasing the teeth and gums.
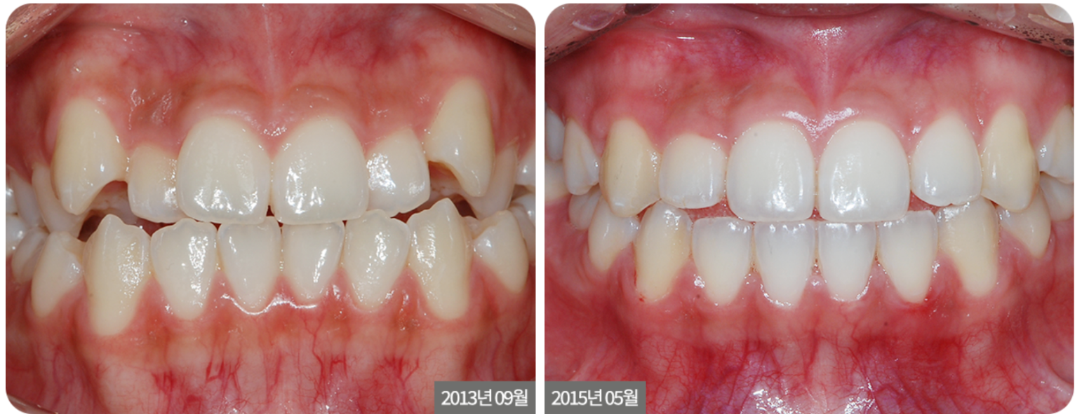
Before and after photos of a smile. On the left, teeth are slightly uneven, and on the right, teeth are straight and white.
A split-screen showing before and after dental work. The

牙齒美白

Close-up view of human teeth, some yellowed and worn, with one gold crown.
Dental teeth whitening comparison: a shade guide is next to a front tooth.
Close-up view of teeth with one tooth, circled, appearing discolored. The tooth is a lighter shade of white compared to the surrounding teeth.
Close-up of teeth; some are discolored and uneven, with receding gums.
Teeth with a shade guide labeled BL2. The front tooth is a bright white compared to the others.
Close-up of human teeth, front view, the central incisor circled in white. The teeth are white, and the gums are pink.